まずはお口の中を確認し、歯茎の検査、歯科用CTによるレントゲン撮影などを必要に応じて行います。そして、歯と歯茎の状態を把握し、正しく最適な治療方針をたてていきます。その上で患者さまと、タブレットなどを用いて、デンタルレントゲンの撮影結果、他検査結果を参考に、しっかりと分かりやすく現在の歯の状況をお話しさせて頂いた上で、「長持ちする治療」を行う様に努力しています。
当院では殺菌したり歯を再生することが出来るMTAセメントも使用しておりますので、深い虫歯でも神経を残すことが可能です。また歯の土台には、金属を使わないしなやかで丈夫なファイバーポストも使用しております。
- トップページ
- Treatment
Treatment
みなさまのお口の健康のためにフッ素塗布は無料で行っております。
-

- 歯が痛い・詰め物がとれた
- 一般歯科
-

- 優しく・無理せず怖くない治療
- 小児歯科
-

- 歯ぐきが腫れる・歯がぐらぐらする
- 歯周病
-

- 歯が痛くなる前に
- 予防歯科
-

- 親知らずの抜歯・顎の怪我
- 口腔外科
-

- 自分の歯のような噛み心地を
- インプラント
-

- 口元を美しく
- 審美歯科
-

- 歯を健康的に白く
- ホワイトニング
-

- 歯並びが気になる
- 矯正歯科
-

- 保険外診療の料金
- 費用のご案内
一般歯科
歯が痛い・詰め物がとれた

「なるべく痛くない」、「なるべく歯の神経を抜かない」「なるべく歯を抜かない」治療を心がけております。またやむを得ず歯を失った部分を補うため、ブリッジ(歯のない部分における歯と歯の間を、橋のように結ぶかぶせ物のことです)、入れ歯、インプラントなどの治療が必要になる場合があります。
当院はCADCAM(保険適応小臼歯部の白い被せ物)の精度を強度、審美的に従来よりあげました。

お口の中の状況を踏まえ、患者様のご要望に沿った治療を提案しますので、なんなりと相談して頂ければと思います。ブリッジにも様々なかぶせ物の種類を選択できますが、入れ歯においても、より味の分かりやすい・違和感の少ない入れ歯、歯に支えとして掛ける金属のバネを使わない審美的に優れた入れ歯など、種類がございます。
最近ではバネの代わりに小型のマグネットを埋め込んだマグネット式の入れ歯もございます。隣の歯に負担を欠けず、ぴったりくっついて外れにくくなっております。入れ歯でお困りの方は、是非ご相談下さい。

根管治療について
根管治療は歯の根っこの治療のことを指します。虫歯に感染した神経や細菌などを綺麗に除去して、根管内を殺菌、洗浄した上で薬を上に置き根管を閉じます。
当院の根管治療はデンツプライ社のXスマートプラスという機器を用いて行います。
こちらの機器で、ニッケルチタンファイルを用いて根管を拡大・形成をしながら根の洗浄や根充を行いますので、高難度の症例においてもスムーズに治療が可能です。
また精密な治療により、できるだけ再発しない根管治療を行っています。
フッ素塗布は無料です。 (ご希望の方はスタッフまで)

小児歯科
優しく・無理せず怖くない治療
歯医者さんは「苦手」「嫌い」というお子様は多いのではないでしょうか?当院では、歯医者さんが苦手なお子様でも、優しく、無理せず、できるだけ痛くない治療を心がけています。歯みがきは大切ですが、歯みがきだけでは大切なお子様の虫歯は予防できません。ブラッシング指導などのホームケアや、むし歯予防になるフッ素塗布やシーラントなどの予防治療もおこなっています。

お子様の大切な歯を守るために
ー シーラント
奥歯のかみ合わせの面は、虫歯ができやすいところです。乳歯の生えたての時、また大人の歯が生えてきた時には、その歯の溝は特に深く、特に虫歯になりやすいです。この奥歯のかみ合わせの面は、細くて深い溝があるため、歯ブラシの毛先が入らないことが虫歯のできやすい原因です。そこで虫歯になる前にこの溝を白い樹脂で埋めてしまうのがシーラントです。シーラントには、フッ素が成分として入っており、虫歯を抑制します。虫歯の予防率は80%以上といわれています。
フッ素塗布は無料です。 (ご希望の方はスタッフまで)

歯周病
歯ぐきが腫れる・歯がぐらぐらする
歯周病は、成人の方の8割が歯周病にかかっているといわれています。
歯周病は、ただ単に歯茎が腫れている病気(歯肉炎)ではなく、歯を支えている骨が溶けていく病気であり、歯槽膿漏とも言われます。一度失った骨はなかなかもとには戻らないため、重度になると歯が抜けてきてしまい、非常に怖い病気です。
歯周病は歯の痛みは、最初はほとんどありません、重度の歯周病になってから気づくことがほとんどです。
歯茎がしみる、血が出るなどの症状が無くても、定期的に検診を受けて頂く事をお勧め致します。早めに治療をおこなえば、進行を止めることは可能です。また、重度に進行した歯周病に関しては再生療法や歯周外科などの歯科治療を駆使し、できるだけ歯の保存できるように努めます。

予防歯科
歯が痛くなる前に
虫歯や歯周病にかかっても治療することはできますが、治療したからといって元の健康な歯に戻るわけではありません。自分自身の健康な歯を維持していくためには、ご自宅での普段のケアはもちろん、継続的な定期検診が必要となります。当歯科医院では定期検診に力を入れ、正しいブラッシング指導をはじめ、PMTCなどを行っています。

PMTCとは
プロフェッショナル(P)メカニカル(M)トゥース(T)クリーニング(C)の頭文字をとって「PMTC」といいます。「PMTC」とは歯科医師や歯科衛生士が専門の器具そしてフッ化物を使って行う、歯の表面の機械的清掃のことをいいます。
当院では、歯面に微粒子パウダーを噴射をして歯に優しく汚れを除去する、より徹底したクリーニングシステムを採用しています。

Varios Combi Pro(バリオスコンビプロ)による歯のクリーニング
この度新しく当院ではVarios Combi
Pro(バリオスコンビプロ)という超音波スケーラー&パウダーデバイスが一体型になった機器を導入いたしました。
超音波によるジェット噴射で細かなパウダーを歯に吹き付けることにより、歯に負担をかけずに、硬い歯石や柔らかいバイオフィルムを除去し、また歯の着色も同時に取り除きます。
- メリット
-
- 歯がきれいになる
- 虫歯・歯周病の予防・管理
- 重度の歯周病の進行抑制

口腔外科
親知らずの抜歯・顎の怪我
親知らずの抜歯など顎・口腔領域における、様々な疾患で、外来治療が可能なもの(入院の必要のないもの)の外科的な治療を行っております。必要があれば、高次医療機関への紹介もおこなっております。また、当院では、あごが痛くなる顎関節症、また、舌が痛くなる舌痛症についても治療を行います。「最近、あごが痛い」「口を開いたり、閉じたりする時にあごがカクカク音がする」「最近何かわからないけど舌がピリピリすることがある」など思われる方は、是非ご相談下さい。

親知らずの抜歯

分割抜歯について
また当院では分割抜歯も行っております。歯の根っこが悪くなり抜歯しなくてはならないケースでも、状態によっては悪くなっている部分だけを抜歯して、できるだけ歯自体を残せるように努めています。
インプラント
自分の歯のような噛み心地を
歯科用CTによる精密診断を行い、お口の中の状態をしっかり把握させていただいた上で、適応のある方は院内にてインプラント治療を行います。
歯を失って再びご自身の歯のような噛み心地をご希望の方は、ご相談いただきたいと思います。
- 歯科用CT(タカラベルモント社BEL-X(ベルクロス))を設置しています。当院で撮影・画像診断を行い、院長自らが手術を行いますので、安心してご相談下さい。
- 当院ではHA(ハイドロキシアパタイト)インプラントを採用しています。

-
インプラントの埋め込み

-
上部構造の装着

-
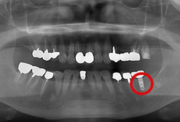
パノラマ

-
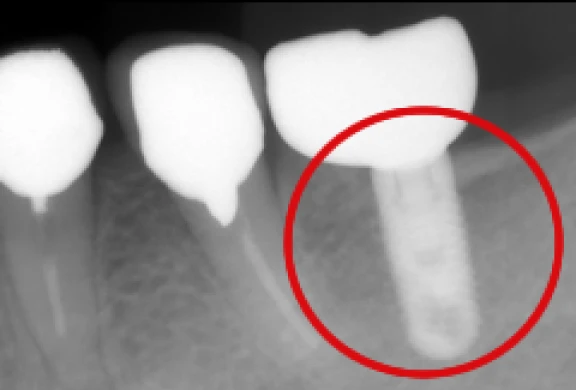
歯間部のインプラント

-
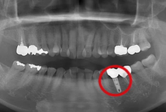
歯間部のインプラント
(上部構造の装着)
-
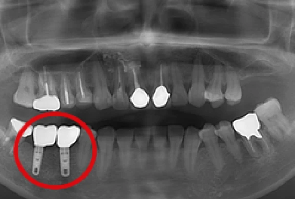
歯間部のインプラント
(2本)
-
歯間部のインプラント
(2本、上部構造の装着)
-
上顎のインプラント

口元を美しく
審美歯科
当院の審美歯科では、見た目の美しさだけでなく、噛む機能や長期的な健康を重視した治療を提供しています。歯の色や形が気になる方、詰め物や被せ物の違和感がある方に、患者様一人ひとりのご要望に合わせたプランをご提案いたします。
セラミックなどの審美性に優れた素材を使用し、自然な仕上がりと耐久性を両立。また、精密な治療を行うことで、詰め物や被せ物のズレを防ぎ、虫歯や歯周病の再発リスクを軽減します。
当院では、カウンセリングを重視し、患者さまの理想に寄り添った治療を心がけています。美しさと機能性を兼ね備えた健康的な口元を、一緒に目指しましょう。

メタルボンド
メタルボンドとは中身はプレシャスメタル(貴金属)で、その上にセラミック(陶器)を焼きつけたかぶせものです。
審美性に優れていて変色せず、強度も強いです。さらに、中の金属に貴金属を使用することで、金属が溶け出すことによる歯茎の変色、金属アレルギーなどが起こる可能性を低くすることができます。
オールセラミック
金属をまったく使わないセラミックのかぶせものです。歯茎がやせて黒い線がでないだけでなく、自分の歯に近い色調を再現することも可能です。審美性に非常に優れています。また、当院では近年に登場した耐久性に強く美しいe-max セラミックも選択できます。
セラミックインレー
ハイブリッドインレー
セラミックインレーは陶材を材質としたつめものです。 ハイブリッドインレーは、セラミックとプラスチック性の材質を混ぜ合わせたつめものです。どちらも審美性に優れたつめものです。これに関しても、当院では耐久性に強く美しいe-maxセラミックも選択できます。
ホワイトニング
歯を健康的に白く
ホワイトニング(ブリーチング)とは、歯を削らずに薬剤で歯を白くする施術のことです。
歯の表面にホワイトニング剤を塗り、専用のLED光を約10分照射する事で、その場で白さを実感する事ができます。
当院でのホワイトニング(オフィスホワイトニング)は、1日で最低3回照射を行います。所要時間1時間程かけて、丁寧に行っております。

こういう方にオススメします。
生活習慣による着色が気になる方
コーヒー・紅茶・カレー・タバコなど、着色性の強い嗜好品を長期間摂取することで、歯は黄ばんできます。
表面の汚れであれば、クリーニングで取れますが、染み込んでしまった着色はホワイトニングで白くします。
また、家の中でマウスピースを使用して、じっくりとホワイトニングをする方法もあります。是非相談してください。

矯正歯科
歯並びが気になる・物を噛みにくい
矯正治療の目的は、きれいな歯並びを得ること、正しいかみ合わせでしっかり咬めることですが、更に将来歯周病のリスクを減らすことにつながります。
当院では、矯正の知識に精通し豊富な臨床経験のある矯正専門医(※)が月2回来院し、院長とともに矯正治療にあたっています。
また必要に応じて、セファロX線分析を行います。
(※)矯正を専門に開業されており、臨床経験20年のベテラン女性医師です。気さくで話しやすく、親身に相談に乗って頂けます。 一度ご相談頂ければと思います。
大人の矯正について
成人の方でも矯正歯科治療は可能です。
子供の頃から出っ歯や受け口、歯がガタガタなど、歯並びが悪いなど、お悩みを持たれている方は、一度当院までご相談下さい。
また大人の矯正はかみ合わせも良くなり、頭痛・肩こりなど全身の色々な疾患も改善することもございます。
当院では、目立たず、取り外し可能なマウスピース矯正(インビザライン)も行っております。
子供の矯正について/床矯正
お子さまの矯正については、特に「床矯正」に力を入れて治療を行っています。
床矯正は、入れ歯に似て取り外しのできる装置を使って治療を行います。基本的に永久歯は抜かずに、顎を拡げて歯をきれいに並べて、見た目にも機能的にも自然で安定した歯並びになることが床矯正の目的です。
床矯正装置
床矯正装置は基本的に「床」「ネジ」「ワイヤー」でできています。装置についているネジを巻いて、少しずつ歯を動かしたり顎をひろげたりします。それによって歯が並ぶスペースが出来ます。
床矯正で使用する装置は簡単に取り外すことができます。
ただし装着時間が短いと歯が戻ってしまい矯正も進みません。しかし、取扱いさえ正しく行えば床矯正は痛くなく、虫歯のリスクも少なく、自分の努力で早く治すことができる治療です。
また、床矯正治療後に、より進んだ治療が必要、あるいは患者様のご要望があれば、ブラケットなどを用いた2次矯正へと進むことになります。
いつから治療すればいいの?
「歯並びがおかしいかな?」と気がついた時が治療の開始時期です。
特に、下あごの前歯が正しく並ばず、歯が重なっていると将来、虫歯や歯周病にかかりやすくなってしまいます。早期に治療を開始すると、装置の数も少なく、治療も短期間で終了し経済的負担も少なくてすみます。
「歯並びがおかしいかな?」と思われたら是非一度ご相談ください。







